dentaloffice@rivardosmiles.com
6428 William Penn Highway, Delmont, PA 15626
Link to our Google Maps page
Rick Rivardo, DMD
Convenient to Murrysville, Export and Greensburg
724-327-2272
Request Appointment
Map
Appt
Mail
Call
Menu
Home
Meet Dr. Rivardo
Dental Services
Cleaning & Prevention
Cosmetic Procedures
Restorative Procedures
Dental Implants
Tooth Extractions
Smile Gallery
Patient Center
Meet Our Team
Office Tour
Location
Office Policies
Patient Testimonials
Dental Links
Emergency Care
Review Us
No Insurance?
Patient Forms
Contact
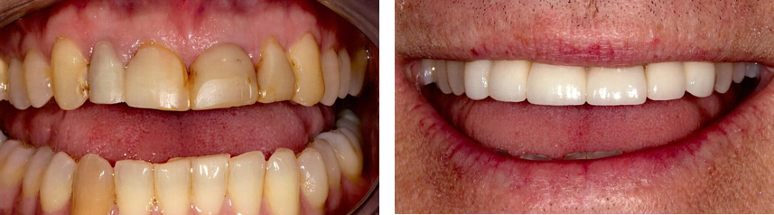
Smile Gallery
These are actual patients of
Dr. Rivardo
Veneer Transformation
Crown Transformation
Crown #2
Crown #3
Veneers
Veneers
Bridge & Crowns
Scroll to Top